Restore Your Smile with Dental Implants
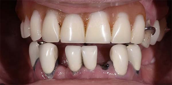
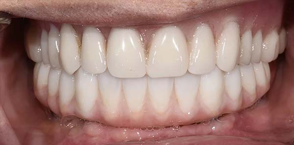
Dental implants are one of the most effective ways to replace missing teeth and restore both function and appearance. Designed to act like an artificial tooth root, a dental implant is placed in the jawbone where it gradually bonds with the surrounding bone. Once healed, it provides a stable foundation for a crown, bridge, or denture, depending on your needs.

Because implants are anchored in the bone, they offer a level of stability and support that traditional tooth replacement options often cannot match. They can help improve chewing, speech, and overall comfort while also supporting a more natural-looking smile. For many patients, dental implants are a long-term solution that feels secure and blends in beautifully with the rest of their teeth.
Treatment planning is an important part of the process. Before an implant is placed, we evaluate your oral health, bone support, and restorative goals to determine the best option for your smile. Every case is different, and the right approach depends on how many teeth are missing and what type of restoration will work best for you.
Schedule Your Complimentary Dental Implant Consultation
If you are considering dental implants, we are here to help you understand your options and determine the best approach for your smile.