Orthodontic Treatment

Modern Orthodontic Solutions

Orthodontic treatment is about more than just appearance. Proper alignment can improve function, make oral hygiene easier, and support long-term dental health. We offer clear aligner treatment designed to straighten teeth in a way that fits comfortably into your daily routine.

Clear aligners are a modern alternative to traditional braces. Using a series of custom-made, nearly invisible trays, your teeth are gradually guided into their ideal position. Each set of aligners is worn for a period of time before moving to the next stage of treatment.

Because the aligners are removable, you can continue to eat the foods you enjoy and maintain your normal brushing and flossing routine without added difficulty. This makes treatment more convenient and easier to manage day to day.

Clear aligners can address a variety of concerns, including spacing, crowding, and minor bite issues. During your consultation, we will evaluate your smile and determine if this approach is the right fit for your goals.

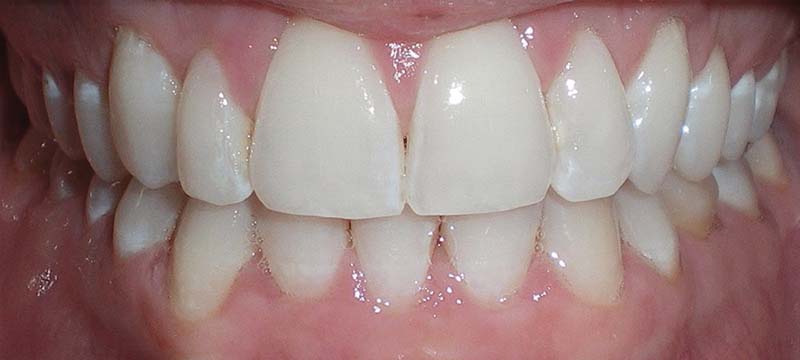
Teeth whitening before treatment Teeth whitening after treatment

Benefits of clear aligners:

  • Nearly invisible during treatment
  • Removable for eating and cleaning
  • No brackets or wires
  • Designed for comfort and gradual movement

Clear Aligner Treatment

We offer Invisalign® aligners, both designed to provide a discreet and effective way to straighten teeth. These custom trays fit comfortably and are changed periodically as your smile progresses.

Schedule Your Orthodontic Consultation

Find out if clear aligners are right for you. Contact our office to schedule a consultation and explore your options for a straighter, more confident smile.